Logo
About Us

NUFACE CLINIC

Welcome to NUFACE CLINIC, an exclusive Maxillofacial, Pediatric & Cosmetic dental clinic dedicated to providing unparalleled patient care. Our clinic combines state-of-the-art technology with a luxurious environment to ensure every visit is a pleasant and rewarding experience

NUFACE CLINIC is a modern healthcare facility equipped with state-of-the-art technology and staffed by highly trained professionals dedicated to providing comprehensive dental care. We go beyond basic dental services, offering specialized treatments such as Oral And Maxillo Facial Surgery, Pediatric & Kids dental care, Preventive and Corrective Orthodontics, Cosmetic dentistry, Implantology, Periodontics , Prosthodontic and elderly patient care. Both facial surgery and dental care play vital roles in enhancing patients' quality of life by addressing aesthetic concerns and functional impairments. These fields often overlap, particularly in cases involving maxillofacial surgery, which deals with the treatment of conditions affecting the mouth, jaw, and face.

Make Appointment

Dr Pranjali Gupta

M.D.S. (Pedodontist) Gold Medalist
Cosmetic Dentist & Child Dental Specialist

Dr Pranjali Gupta is a highly skilled, vastly experienced and dedicated dentist with expertise in Cosmetic and Pediatric dentistry . She’s is known for her excellent skills in behaviour management especially with young kids and is liked very much by her patients for her compassionate nature. She treats patients of all ages with all variety of dental problems and is family dentist to most renowned professionals, businessman and bureaucrats of Agra region. The services provided by her are as follows:

  • Specialized Child Dentistry
  • Single Sitting Full Mouth Treatment For Children
  • Single Sitting RCT
  • Advanced Cosmetic Dentistry
  • Advanced Orthodontic Care

Dr Gaurav Mahesh Gupta

M.D.S. (Oral & Maxılo Facial Surgery)
Face, Jaw & Cosmetic Surgeon & Implantologist

Dr Gaurav Mahesh Gupta is an internationally renowned, extensively trained, highly skilled Oral & Maxillofacial Surgeon with experience of more than 10000 surgical procedures. He’s an expert in treating wide range of oral and facial problems and diseases including cosmetic surgeries of face, reconstructive face and jaw surgeries and dental Implantology . Apart from a surgeon par excellence, he’s a great academician and has trained hundreds of doctors in treating facial deformities and dental Implantology, both in India and abroad. The services provided by him are as follows:

  • Facial Trauma and Gunshot injuries
  • Cleft Lip, Palate and Associated Facial Deformities (Comprehensive Care Centre)
  • Facial and Jaw Deformities
  • Jaw Joint (TMJ) Disorders
  • Cosmetic Nose Surgery: Rhinoplasty
  • Oral & Jaw Pathologies: Cysts, Tumors, Vascular lesion, Cancer
  • Oral & Facial Infections
  • Salivary Gland Diseases
  • Disorders of Mouth Opening: Gutkha induced (OSMF), Jaw Joint Induced

Dr. Ujjwal Gautam

M.D.S. (Dental Surgery)

Dr. Ujjwal Gautam, an orthodontist who graduated with a Master of Dental Surgery (MDS) from the Manipal College of Dental Sciences. He specializes in a comprehensive range of orthodontic treatments, including myofunctional appliances, cleft orthodontics, fixed mechanotherapy, and Invisalign. My goal is to provide personalized care and advanced treatment options to help my patients achieve the best possible dental health and a confident smile.

Welcome to NUFACE CLINIC, an exclusive Maxillofacial, Pediatric & Cosmetic dental clinic dedicated to providing unparalleled patient care.

Make Appointment

Our Services

We Offer The Best Quality Services

Cosmetic Dentistry
Dental Implants
Pediatric dentistry
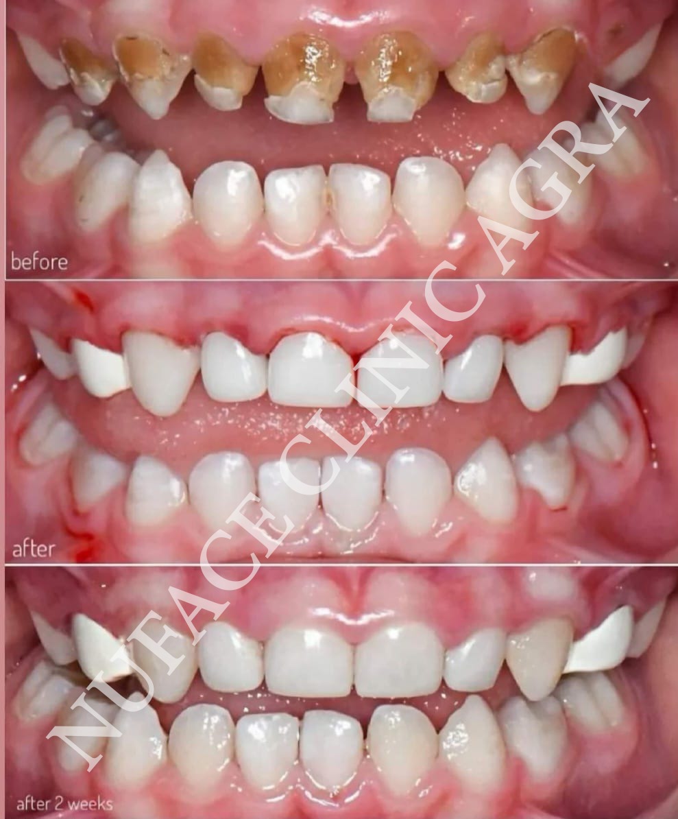
Dental fluorosis treatment
Dental Scaling and polishing
Jaw correction Orthognathic surgery
Orofacial Infection
Nose surgery(Rhinoplasty)

Our Gallery

Testimonials

Reviewer Image

Dr. Gaurav Mahesh Gupta

5.0 ★★★★★

Based 256 review

powered by Google

Reviewer Image

Nuface Clinic

5.0 ★★★★★

Based on 938 review

powered by Google

Get In Touch

Delhi Gate Rd, next to masjid, Hariparwat, Professors Colony, Civil Lines, Agra, Uttar Pradesh 282002

info@example.com

092195 23330

Follow Us

© . All Rights Reserved.

Designed by fulldigitalads